2026.02.23 (월)

  • 구름많음동두천 5.9℃
  • 맑음강릉 11.3℃
  • 구름많음서울 5.2℃
  • 흐림대전 8.8℃
  • 맑음대구 11.6℃
  • 맑음울산 12.0℃
  • 맑음광주 11.9℃
  • 맑음부산 14.0℃
  • 맑음고창 9.6℃
  • 맑음제주 12.0℃
  • 구름많음강화 3.4℃
  • 구름많음보은 8.1℃
  • 흐림금산 8.0℃
  • 맑음강진군 12.1℃
  • 맑음경주시 12.1℃
  • 맑음거제 11.4℃
기상청 제공

[건강상식] 치아 미용도 신경쓰는 시대, 앞니가 유독 길어 보인다면 '치은 퇴축' 의심해봐야

치아 뿌리 노출되면 찬물에 시린 증상 발생 등
미관상 문제 넘어 치아 수명 단축 요인으로 작용

 

미용과 자기관리에 대한 관심이 높아지면서 이제는 치아 미용까지 챙기는 이들이 늘고 있다.

 

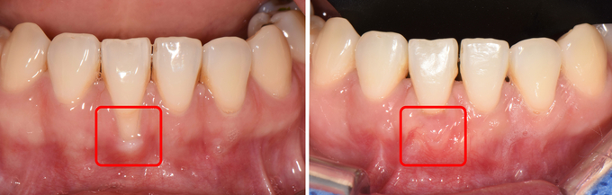
거울을 볼 때 앞니가 유독 길어 보이거나 웃을 때 치아 뿌리가 드러난다면 '치은 퇴축'을 의심해봐야 한다.

 

잇몸이 치아 뿌리 방향으로 내려앉는 ‘치은 퇴축’은 단순히 미관상의 문제에 그치지 않는다. 

 

치아 뿌리가 노출되면서 찬물에 시린 증상이 나타나고, 뿌리 부위 충치가 발생할 위험도 커진다. 이는 결국 치아 수명을 단축시키는 주요 원인으로 작용한다.

 

치은 퇴축은 과도한 힘을 주는 잘못된 칫솔질 습관으로 발생하는 경우가 많지만, 선천적으로 잇몸뼈와 잇몸이 얇은 사람에게서도 흔히 나타난다. 

 

특히 치아 교정 과정에서 치아가 이동할 때 얇은 잇몸이 이를 충분히 지지하지 못하면 퇴축이 진행될 수 있어 각별한 관리가 필요하다.

 

이 같은 문제를 개선하기 위한 대표적인 치료법이 ‘치근피개술(잇몸 재건술)’이다. 

 

노출된 치아 뿌리를 건강한 잇몸 조직으로 덮어 심미성을 회복하고 외부 자극으로부터 치아를 보호하는 술식이다. 

 

치주과적 근거에 기반한 정석적 방법은 잇몸을 절개해 끌어올리는 관상변위판막술(CAF)과 자가 잇몸 이식술(SCTG)을 병행하는 방식이다. 

 

환자 본인의 입천장에서 조직을 채취해 이식하기 때문에 생착률이 높고, 얇은 잇몸이나 광범위한 뿌리 노출을 안정적으로 개선할 수 있다.

 

최근에는 수술 후 통증과 불편감을 줄이기 위한 다양한 기법도 활용되고 있다. 

 

자가 조직 대신 가공된 대체 진피(ADM)를 사용하는 방법이나 잇몸을 크게 절개하지 않고 미세한 통로를 통해 시술하는 터널링 및 VISTA 기법 등이 대표적이다. 

 

이러한 치료는 정확한 진단과 숙련된 술식이 뒷받침될 때 보다 안정적인 결과를 기대할 수 있다.

 

김현 고려대학교 안산병원 치주과 교수는 "치은 퇴축 치료는 환자가 가진 현재의 잇몸 높이와 뼈 상태를 고려해 학문적 근거를 바탕으로 한 맞춤형 치료 설계와 술자의 경험이 성패를 좌우한다"며 "치료 방법을 정확히 판단해 줄 수 있는 전문가와 상담이 중요하다"고 말했다.
 

[ 경기신문 = 서혜주 기자 ]









COVER STORY